Jak vypadá zubní plak a proč je důležitý znát jeho vzhled

Jak vypadá zubní plak a proč je důležitý znát jeho vzhled

Detekce zubního plaku

Zjistěte, jak často zubní plak vidíte

Zadejte své ústní hygienické návyky a náš nástroj vám ukáže, kolik plaku může být na vašich zubech.

Zadejte své ústní hygienické návyky

Výsledek

Pravděpodobnost viditelného plaku: 0%
Návrh: Pro větší úspěch v boji proti plaku doporučujeme použít speciální tablety na odhalení plaku.
Co to znamená?

Plak je často skoro neviditelný, ale pokud máte častější návyky, může se stát viditelným.

Rada pro vás

Vylepšete své ústní hygienické návyky a můžete předcházet tvorbě plaku.

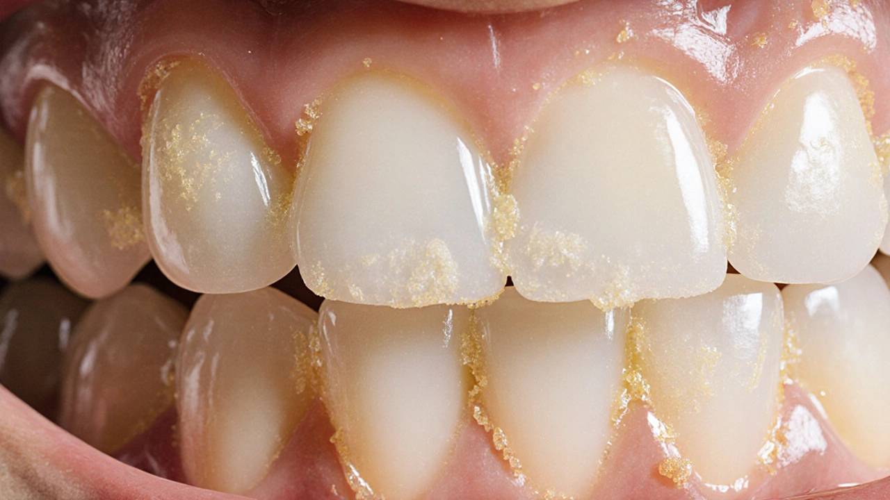
Na zubech se každý den tvoří tenká, skoro neviditelná vrstvička - zubní plak. Nejde o nějakou hrubou špínu, kterou byste mohli snadno spatřit. Je to měkká, lepkavá biofilmová vrstva, která se tvoří během několika hodin po jídle. A právě proto ho mnoho lidí přehlíží. Když se podíváte do zrcadla a vidíte bílé nebo žlutavé skvrny na zubech, nejde jen o znečištění. To je plak. A když ho neodstraníte, přemění se v kámen - a to už je jiný příběh.

Co je zubní plak skutečně?

Zubní plak není jen „špína“. Je to živá kolonie bakterií - více než 700 druhů - které se přichytávají na povrchu zubů. Tyto bakterie živí se cukry a sacharidy, které zůstávají po jídle. Když je rozloží, vydávají kyseliny. Tyto kyseliny postupně rozkládají sklovinku zubu - a to je začátek zubního kazu. Plak se tvoří nejen na viditelných částech zubů, ale i mezi nimi, u dásní a v hlubokých jamkách na žvýacích plochách. Tam ho často nevidíte, ale tam působí nejvíce škody.

Největší problém je, že plak nevypadá jako špína, kterou byste mohli snadno odstranit. Je téměř průhledný, bílý nebo lehce žlutý. Pokud se podíváte na zuby po nočním spánku, můžete si všimnout, že se zdají „mávavé“ nebo „matné“. To je plak. A když ho nečistíte, začne tvrdnout. Po 2-3 dnech se promění v zubní kámen - tuhý, tmavý návrstev, který už si neodstraníte kartáčkem.

Jak ho najít, když ho nevidíte?

Nejednodušší způsob, jak zjistit, kde máte plak, je použít tablety na odhalení plaku. Jsou k dispozici v lékárnách a stojí jen pár desítek korun. Přežvýkejte jednu tabletu, nechte ji působit na zubech 30 sekund a pak si vypláchněte ústa vodou. Plak se natře červeně nebo fialově - a najednou uvidíte, kde jste se při čištění přehlíželi. Většina lidí zjistí, že plak je na místech, kde kartáček nebo nit neproniká: u dásní, mezi zuby, na zadních zubech.

Bez tablet můžete použít i jednoduchý test. Po jídle si přečistěte zuby a pak se podívejte na kartáček. Pokud máte bílé nebo žluté zbytky na štětinách, znamená to, že jste zuby nečistili dostatečně. Plak se na kartáčku nezadrhává, když je čistý. Když se vám po čištění zdá, že zuby jsou „hladké“, ale po chvíli se opět „matně“ zdají, je to plak, který se opět tvoří.

Proč je důležité ho odstranit, pokud chcete bělit zuby?

Když plánujete bělení zubů, mnoho lidí si myslí, že stačí jít na lékaře a všechno se vybělí. Ale to není pravda. Plak je jako tenký štít, který brání bělidlu, aby proniklo na povrch zubu. Když bělíte zuby, které mají plak, bělidlo působí jen na jeho vrstvu - a ne na samotné zuby. Výsledek? Nerovnoměrné bělení, světlé skvrny vedle tmavších, nebo dokonce zbytečně citlivé zuby.

Profesionální bělení v ordinaci začíná vždy odstraněním plaku a zubního kamene. To je důvod, proč vás zubař nejprve „vyčistí“ - a teprve poté začne s bělením. Pokud se rozhodnete pro domácí bělení, například pomocí proužků nebo gelů, musíte mít zuby úplně čisté. Jinak nebudete mít žádný efekt. A když se po bělení vrátí plak, zuby se opět začnou tmavit - a to rychleji, než si myslíte.

Člověk s fialově obarvenými zuby po použití tablety na odhalení plaku.

Co dělat, když už máte zubní kámen?

Když plak ztuhl a přeměnil se v zubní kámen, už ho kartáčkem neodstraníte. Kámen je tvrdý, jako kámen - a má barvu od žluté po hnědou nebo černou. Obvykle se tvoří u dásní, zejména na spodních předních zubech. Pokud ho neodstraníte, může způsobit zánět dásní, krvácení, zápach z úst a dokonce ztrátu zubu.

Jediný způsob, jak ho odstranit, je profesionální čištění u zubaře. Používají se ultrazvukové přístroje nebo ruční nástroje, které kámen odstraní bez poškození zubu. To není bolestivé - jen trochu nepříjemné. Po odstranění kamenů se zuby často zdají „kratší“ nebo „větší“ - to je jen proto, že kámen je odstraněn a dásně se začnou zacelovat.

Po odstranění kamenů je důležité udržovat čistotu. Jinak se kámen vrátí za několik měsíců. Zubaři doporučují čištění každých 6-12 měsíců, ale pokud máte tendenci rychle tvořit plak, může být lepší přicházet každé 3-4 měsíce.

Jak předcházet tvorbě plaku?

Plak se tvoří každý den - a to i když jste se čistili. Ale můžete ho zpomalit. První pravidlo: čistěte si zuby dvakrát denně - ráno a večer. Nejen na pár vteřin, ale alespoň dvě minuty. Používejte kartáček s jemnými štětinami a měkkým koncem. Nezatlačujte - jen lehce přitlačte a pohybujte se kruhově.

Druhé pravidlo: používejte zubní nit nebo mezizubní kartáčky. Kartáček nečistí mezi zuby. Tam se tvoří 40 % plaku. Nit nebo kartáček je nutný, pokud chcete mít skutečně čisté zuby.

Třetí pravidlo: vyhýbejte se cukrům a sladkým nápojům. Každý sladký kousek, který sníte, znamená, že bakterie v plaku dostanou „palivo“. Pokud piješ čaj s cukrem nebo limonádu, zvyšuješ riziko plaku. Voda, čaj bez cukru a mléko jsou bezpečnější volby.

Čtvrté pravidlo: používejte zubní pastu s fluoridem. Fluorid posiluje sklovinku a zpomaluje rozklad zubu. Nezapomeňte, že pasty s „bílením“ neodstraňují plak - jen maskují jeho barvu. Skutečná čistota je jiná.

Zubní lékař odstraňuje tmavý zubní kámen z předních zubů ultrazvukovým přístrojem.

Co dělat, když máte děti?

Děti mají často více plaku, protože nečistí zuby dostatečně dlouho nebo nejsou trpělivé. Používejte barvivé tablety - děti se s nimi hrají jako s hračkou. Když vidí, že se jejich zuby natřou červeně, začnou čistit víc pozorně. Také zvolte kartáček s časovačem nebo s písničkou, která trvá dvě minuty. Děti se učí hrou.

Nezakazujte sladkosti - ale omezujte jejich frekvenci. Pokud dítě sní bonbón pětkrát denně, zuby se nezotaví. Pokud ho sní jednou denně a pak se ihned čistí zuby, riziko je mnohem nižší.

Je plak nebezpečný i pro zdraví těla?

Ano. Výzkumy ukazují, že dlouhodobý zánět dásní způsobený plakem může ovlivnit celé tělo. Bakterie z úst se mohou dostat do krve a přispět k zánětům v srdci, zhoršit diabetu nebo zvýšit riziko předčasného porodu. To neznamená, že plak způsobí infarkt - ale zanedbávání ústní hygieny je jedním z faktorů, které mohou přispět k celkovému zdravotnímu riziku.

Čisté zuby nejsou jen o krásném úsměvu. Jsou to základ zdraví. A když se rozhodnete pro bělení, nezapomeňte: nejlepší bělení začíná čistými zuby. Bez toho je to jako malovat na špinavé stěně - výsledek bude špatný a rychle se ztratí.

Je zubní plak vidět pouhým okem?

Ano, ale jen když je tenký a světlý - vypadá jako bílá nebo žlutavá vrstvička na zubech, zejména u dásní. Většinou je však příliš tenká, aby se dala snadno poznat. Pro přesnější detekci se používají speciální tablety, které plak obarví.

Můžu si zubní plak odstranit doma?

Ano, pokud je to jen plak - ne kámen. Pravidelné čištění kartáčkem, nití a mezizubními kartáčky ho odstraní. Pokud se ale plak ztuhl a přeměnil v zubní kámen, doma ho už neodstraníte. Kámen vyžaduje profesionální čištění u zubaře.

Proč se mi zuby po bělení zase ztmavují?

Pokud po bělení neudržujete dobré hygienické návyky, plak se začne opět tvořit. A protože plak váže barvivé látky, zuby se opět tmaví. Bělení není trvalé řešení - potřebuje pravidelnou údržbu.

Je lepší používat bělící pastu nebo jen obyčejnou?

Bělící pasty neodstraňují plak. Obsahují abrazivní látky, které mohou zubní sklovinku poškodit, pokud je používáte příliš často. Nejlepší je obyčejná pasta s fluoridem - a čištění kartáčkem a nití. Bělení funguje jen na čistých zubech.

Může plak způsobit zápach z úst?

Ano. Bakterie v plaku rozkládají zbytky jídla a vydávají pachy, které se projevují jako zápach z úst. Časté čištění, používání jazykového kartáčku a čištění mezi zuby značně snižují tento problém.